Medcare Dentofaces gives Arab teenager with rare jaw tumour a new lease on life
- December 05, 2024
Dubai: Salem Salah, a 14-year-old Arab teenager, has every reason to smile after undergoing a complex surgical procedure to remove a rare, benign tumour from his lower jaw at Medcare Dentofaces in Dubai.
For years, Salem struggled with persistent swelling and severe pain on the right side of his lower jaw. Initially, the discomfort seemed minor, but as the swelling grew, Salem's family noticed it was affecting him the quality of his life. The boy found it increasingly difficult to chew food properly. The tumour disfigured the structure of his lower jaw, and his lower teeth shifted out of position.
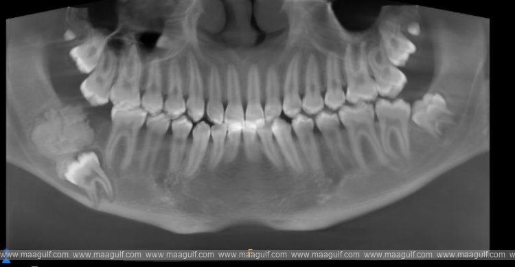
The family sought advice from several healthcare professionals who identified the rare nature of the swelling in the mouth. Since this required special treatment, Salem was eventually referred to Dr. Farzin Sarkarat, a specialist oral and maxillofacial surgeon at Medcare Dentofaces in Dubai. Concerned by the severity of the swelling in the boy's jaw and the displacement of Salem's right third molar tooth, Dr. Farzin conducted a thorough analysis.
“The position of the swelling was dangerously close to the inferior alveolar nerve, a critical nerve responsible for sensations in the lower teeth, chin, and lower lip. The tumor's proximity to the nerve made the situation extremely delicate, since any oversight could result in permanent nerve damage. This made the case highly complex. From the initial evaluation, it was clear that Salem’s condition was more than a simple swelling,” explained Dr. Farzin.
“Detailed imaging and diagnostic tests revealed that Salem suffered from Ameloblastic Fibroma, a rare benign tumour originating from dental tissue that typically affects younger individuals. While non-cancerous, the tumour caused significant swelling, pain, and displacement of Salem’s teeth,” he added.
“If left untreated, the tumour could have grown larger, damaging the surrounding bones and nerves, leading to facial deformities or even loss of sensation in the jaw,” said Dr. Farzin. “We decided to perform a surgical procedure to remove the tumor, preserve the nerve, and restore Salem's jaw.”
Dr. Farzin’s team designed a meticulous treatment plan that involved removing the tumor and impacted wisdom tooth, repositioning the nerve, and using a bone plate to reconstruct the jaw. Every step required extreme precision to avoid nerve damage and ensure Salem could regain full jaw functionality.
“The three-hour surgery was performed under general anaesthesia,” Dr. Farzin explained. “We carefully removed the tumour and wisdom tooth, repositioned the nerve, and inserted a bone plate to stabilize and reconstruct the jaw.”
The surgery was a success, significantly reducing Salem’s pain and swelling and preventing future complications. Salem’s immediate post-operative recovery brought much-needed relief to his family.
“Salem’s prognosis is excellent,” said Dr. Farzin. “With the tumour removed and the nerve preserved, we expect him to regain full functionality of his jaw. He is already making remarkable progress and is on track for a complete recovery.”
Expressing her gratitude, Salem’s sister, Ms. Shaikha Elfalasi, said: “We are extremely thankful to Dr. Farzin and his team for their incredible care and expertise. After months of pain and uncertainty, seeing my brother recover and smile again is a great blessing for our family.”
Salem is steadily recovering, with his pain diminishing and full healing expected in the coming months. Regular follow-ups will ensure his jaw functions properly. His story highlights the importance of specialized care and timely medical intervention.
తాజా వార్తలు
- ఖతర్లో సేవలకు తెలంగాణ గల్ఫ్ సమితి అధ్యక్షుడు మైదం మధుకు ఎంబసీ సత్కారం
- IPL 2026: కోల్కతా నైట్ రైడర్స్ కు మరో ఓటమి..
- ఘనంగా జరిగిన ఇండియన్ నేషనల్ సినీ అకాడమీ (INCA) అవార్డ్స్ వేడుక
- హార్ముజ్ జలసంధిని తెరిచిన ఇరాన్
- సీఎం చంద్రబాబు నాయుడుతో డా. శ్రీధర్ బెవర భేటీ
- ఫుజైరా రూలర్ తో యూఏఈ అధ్యక్షుడు భేటీ.. ఫుజైరా పోర్ట్ పరిశీలన
- ఎన్డీఏకి ఎదురుదెబ్బ..వీగిపోయిన మహిళా రిజర్వేషన్ బిల్లు!
- బంగారం దిగుమతుల పై కేంద్రం కీలక నిర్ణయం
- అమెజాన్ ‘AI స్టోర్’ ప్రారంభం
- ఎన్నికల సంఘం కమిషనర్గా అనిల్ చంద్ర పునేఠా నియామకం









